Why Choose SKN Cosmetics?
- Tiny smiles, big care.
- Fun, fear-free dental adventures await.
- Experts in making dental visits delightful.
- Gentle hands, happy kids, healthy teeth.
- Beyond dentistry, we build trust.
- Dental health is an exciting journey.
- Comprehensive care, tailored for tots.
- Dedicated to nurturing lifelong healthy habits.
- A friendly space for every little patient.
- Islamabad’s choice for pediatric dental excellence.
- Because every child deserves a brilliant smile.
- Partnering with parents for perfect oral health success.
3rd Floor, Ammar Center, Block # 13-A College Rd F-7 Markaz ISLAMABAD, PAKISTAN.
Nothing matters more to us as parents than watching our children smile confidently and grow up healthy, including their oral health. Every toddler needs a healthy, contented grin from the start. That is why choosing the finest pediatric dentist in Islamabad is critical for lifelong oral health. Children want gentle treatment, which expert dentists can provide. A competent pediatric dentist offers more than just cleanings; they also bring comfort and trust.
At SKN Cosmetics, we recognize that children require more than simply dental care; they want compassion, patience, and a relaxing setting in which they may feel comfortable. Our expert Pediatric Dentists in Islamabad offer compassionate, specialized treatments for young patients ranging from toddlers to teenagers.
Quick Facts
- Procedure Type: Non-Surgical
- Duration: 30-60 Minutes
- Recovery: Immediately
- Results: Long-Lasting
- Cost: PKR 1,999 to PKR 10,000
What Is A Pediatric Dentist?
Pediatric dentists are committed to children’s dental health from infancy to adolescence. They have the necessary experience and qualifications to care for a child’s teeth, gums, and mouth during all stages of life. During the first 6 months of life, children begin to develop baby teeth. By the age of six or seven, kids begin to lose their primary teeth, which are eventually replaced by secondary, permanent teeth.
Without adequate dental care, children may develop oral decay and illness, leading to long-term discomfort and difficulties. Early childhood dental caries, an infectious condition, affects five times more children than asthma and seven times more than hay fever. Approximately one in every five (20%) youngsters aged five to eleven years has at least one untreated decaying tooth.
What Kind Of Training Do Pediatric Dentists Have?
Pediatric dental training necessitates years of education and practical experience. To become a licensed Doctor of Dental Surgery (DDS) or Doctor of Dental Medicine (DMD), candidates must first get a bachelor’s degree, then attend dental school and pass a series of dental certification tests.
Graduate students then participate in a residential program. They may decide to train in one or more of the following specialties:
- Pediatric Dentistry
- Orthodontics
- Endodontics
- Periodontics
- Preventive Care Prosthetics
- Oral surgery
- Restorative dentistry
After finishing the residency program, applicants must complete a series of tests administered by the Commission on Dental Accreditation (CDA) to get board certification. This qualification is accessible in all fifty states.
Why Does Pediatric Dentistry Matter Early On?
The earlier children receive dental care, the greater the benefits. A toddler’s first dental appointment must have occurred before the age of one. These early visits help to increase comfort and familiarity with dental care. Choosing a Pediatric dentist in Islamabad ensures that your child receives competent treatment during their formative years.
What Makes Pediatric Dentists Different?
Pediatric dentists serve newborns, toddlers, and teenagers. After graduating from dentistry school, they continued their study. This institution focuses on toddler psychology, development, and behavior management. That is why seeing the Best Pediatric Dentist in Islamabad might make a significant impact.
Common Treatments Offered By Pediatric Dentists
There are several types of common treatments that are used by Pediatric Dentists, including;
| Pediatric Treatments | Descriptions |
| Infant Oral Health Exams | Infant oral health checkups involve risk assessment for caries in both mother and child. |
| Early Evaluation And Treatment | Early evaluation and treatment for straightening teeth and correcting an incorrect bite (orthodontia) |
| Fluoride Treatments | Preventive dental care includes cleaning and fluoride treatments, as well as nutrition and food suggestions. |
| Dental Sealants | Structured implants are filled with sterile saline water and have an interior structure designed to make the implant seem more natural. |
| Cavity Fillings | Common Pediatric treatment offers repair of dental cavities or deficiencies. |
| Habit Counseling | Habit therapy (for example, pacifier usage and thumb sucking). |
| Oral Disorders | Diagnosis of oral disorders linked to illnesses including diabetes, congenital heart defects, asthma, hay fever, and ADHD. |
| Emergency Dental Care | Management of gum diseases and problems such as ulcers, short frenulum, mucoceles, and juvenile periodontal disease. |
| Teething And Eruption Monitoring | Care for dental injuries, such as cracked, dislocated, or knocked-out teeth. |
Introducing Pediatric Orthodontics Early On
Pediatric orthodontics specializes in early jaw and enamel alignment. Even children may benefit from early orthodontic examinations. By age seven, dentists might often come upon alignment difficulties. Addressing these issues early on saves time, money, and future problems.
What Are The Reasons To See A Pediatric Dentist?
Oral health is vital for general wellness. Bacteria thrive in the mouth, which serves as the gateway to the rest of your body. Some bacteria are innocuous, while others can cause illness. Good dental practices, such as brushing and flossing, help to regulate excess germs and prevent illnesses in the mouth and other parts of the body. Consistent dental care is especially vital for youngsters, who develop by the day.
Pediatric dentists educate parents and children on the significance of developing lifelong healthy habits. They also identify and treat disorders in babies and children of all ages, with a focus on working with children with special needs.
What Benefits Do Pediatric Dentists Offer To Children?
Pediatric dentists, like all dentists, focus on oral health, disease prevention, and tooth decay treatment. They also teach parents and other dental professionals how to effectively treat youngsters. Furthermore, pediatric dentists are skilled at explaining operations to youngsters and establishing confidence with their younger patients.
Here, we have outlined various strategies that pediatric dentists utilize to interact with young patients, such as:
- Positive reinforcement entails rewarding patients for positive conduct, such as sitting still and following instructions.
- Tell-show-do – A method in which the dentist describes the treatment in language that the youngster can comprehend, then shows them a simplified version of the treatment before beginning the process.
- Pediatric dentists may employ a more friendly or soothing tone with patients to help them trust and understand the session.
How Old Are Pediatric Dentists’ Patients?
Pediatric dentists, like pediatricians, can see children from infancy to college. Assume a young youngster requires dental care in a hospital owing to a medical problem. In that situation, a pediatric dentist is particularly qualified. Pediatric dentists frequently encounter patients with special needs after the age of 18, as they are familiar with the patient’s dental history, unique therapies, and procedural requirements.
When Should You Visit A Pediatric Dentist?
You should visit a Pediatric Dentist when your child has;
- First tooth appearance.
- Teething discomfort.
- Thumbsucking or pacifier habits
- Tooth pain or swelling.
- Crowded or crooked teeth.
- Routine checks every six months help detect problems early. Waiting too long might result in difficulties and pricey treatments.
Initial Consultation!
It is critical to identify and prepare your child for treatment since it helps them achieve great results.
- Schedule an appointment with a skilled doctor to achieve the finest results.
- Share your child’s medical history with the doctor. If your child has allergies, you must address them to ensure a safe dental surgery.
- If your kid is taking any medications, discuss them with your doctor.
- Explain the appointment to your child, as it might help reduce anxiety.
- You must wash your teeth before visiting the clinic.
What To Expect At The Pediatric Dentist?
Children have a distinct experience when visiting the dentist. Unlike adults, they cannot always sit still and comply during a dental checkup or cleaning. Pediatric dentists recognize this and specialize in making procedures more pleasant. A pediatric dentistry clinic contains equipment and furnishings that are appropriate for younger patients.
Doctors recommend that you take your kid to the dentist 6 months after their first tooth develops, or 12 months at the latest. The initial appointment normally lasts 30 to 45 minutes, and the sort of evaluation and therapy provided is determined by the child’s age.
A typical oral health check with a pediatric dentist might include the following:
- A quick conversation about your child’s dental health, brushing, and flossing habits
- A comprehensive examination to assess the development of the teeth, gums, jaws, bite, and surrounding oral tissues.
- Teeth polishing and cleaning to eliminate plaque, tartar, or stains
Pediatric dentists do not X-ray infant teeth unless there is a suspicion of tooth decay or a need to check the root. Young children should not receive X-rays unless medically essential.
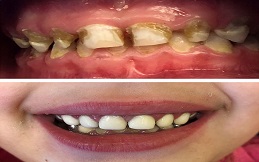
What To Expect In Results?
It helps to prevent tooth decay and cavities. If you take care of your dental health from a young age, you will have good oral hygiene for the rest of your life. It improves tooth function, strengthens biting, and alleviates dental anxiety.



Pediatric Treatment Aftercare Instructions
Following aftercare instructions is critical for achieving optimal results and reducing problems.
- For 30 minutes, refrain from eating or drinking.
- Brush your child’s teeth twice a day; this protects their teeth.
- After 6 months, go to your doctor for a comprehensive check-up.
- Due to anesthesia, your child may bite their lips or cheeks, so keep an eye on them for 3 hours.
Cost of Pediatric Dentist In Islamabad
The cost of a Pediatric Dentist in Islamabad, Pakistan, may range from PKR 1999 to PKR 10,000. On average, the cost of a Pediatric Dentist in Pakistan is not set. It varies depending on the place and your child’s dental condition. We propose that you visit our clinic. After analyzing your condition, the dentist creates a treatment plan for you, allowing you to determine the exact cost.
Cost-related factors:
- Location, experience, and reputation.
- Regular checkups.
- Dental fillings.
- Cleaning.
- Customization.
|
Starting Cost (PKR) PKR 1,999 |
Final Cost (PKR) PKR 10,000 |
How To Choose The Right Pediatric Dentist?
Your child’s comfort should typically come first. Look for a dentist who specializes in working with children. A cheerful, lively health facility environment promotes less worry and anxiety. Read reviews and get recommendations from other parents. If you are also in Rawalpindi, please consider our children’s dental care services. Trust your instincts. If your youngster feels safe, you have made an excellent decision. We feel that SKN Dental Clinic in Islamabad has the best pediatric dentist in Islamabad.
Book Your Free Consultation!
Every day, our patients believe us based on their children’s grins. They value our calm demeanor, clear communication, and outcomes. Many families tell us that it was the first time their newborn enjoyed a dentist appointment. That is why we at SKN Cosmetics are happy to be the leading pediatric dentist in Islamabad.
FAQs


Book your Appointment